Если родители замечают, что ребенок ходит, чуть прихрамывая, а также если наблюдают перекос таза, нужно незамедлительно обращаться за ортопедической помощью!
О такой патологии, как разновеликость нижних конечностей, рассказывает заведующий детским отделением травматологии и ортопедии ФГБУ «ФЦТОЭ» Минздрава России (г. Барнаул), врач-травматолог-ортопед высшей категории Евгений Владимирович Ворончихин.
Разновеликость нижних конечностей — это состояние, характеризующееся укорочением или переудлинением одной из нижних конечностей. По своему происхождению разновеликость бывает врожденной, возникающей на фоне аномалий развития или как процесс диспропорционального роста конечности или половины тела (гемигипотрофия) и приобретенной, возникающей на фоне других ортопедических, неврологических заболеваний и перенесенных травм.
При формировании разновеликости, в зависимости от степени ее выраженности, родители, как правило, обращают внимание на перекос таза, хромоту, несимметричное положение надплечий, углов лопаток, также у детей может возникать болевой синдром в нижних конечностях вследствие асимметричной нагрузки.
В случае подозрения на разновеликость, необходимо обратиться к детскому ортопеду для прохождения процедуры осмотра и выполнения дополнительных методов обследования. Из дополнительных методов обследования ведущее значение имеет панорамная рентгенография нижних конечностей (Full Leg).
Если разновеликость не критичная, в пределах до 1,0 см, возможно динамическое наблюдение с регистрацией темпов роста ребенка и рентгенологическим контролем. В случаях более значимой разновеликости, при условии функционирующих зон роста (до периода пубертата), методом выбора будет лечение по методу управляемого роста, заключающееся во временном блокировании зон роста бедренной или большеберцовой кости на здоровой конечности, с целью синхронизирования длины нижних конечностей.
При значительной разновеликости у детей после 12 лет методом выбора являются удлиняющие методики при помощи аппаратов внешней фиксации различных модификаций (определяется индивидуально).
Важное условие в определении тактики лечения ребенка — обязательная консультация детского ортопеда!

Девочка, 8 лет. Диагноз: Врожденное укорочение правой нижней конечности, 3,0 см. До операции и через год после операции, полная коррекция разновеликости
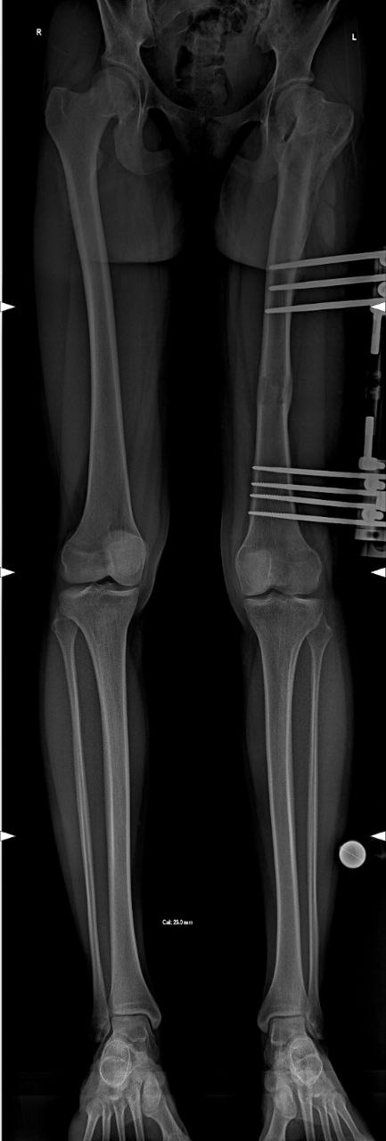
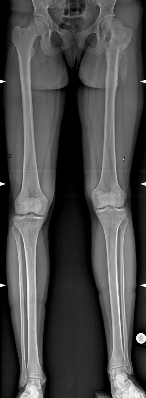
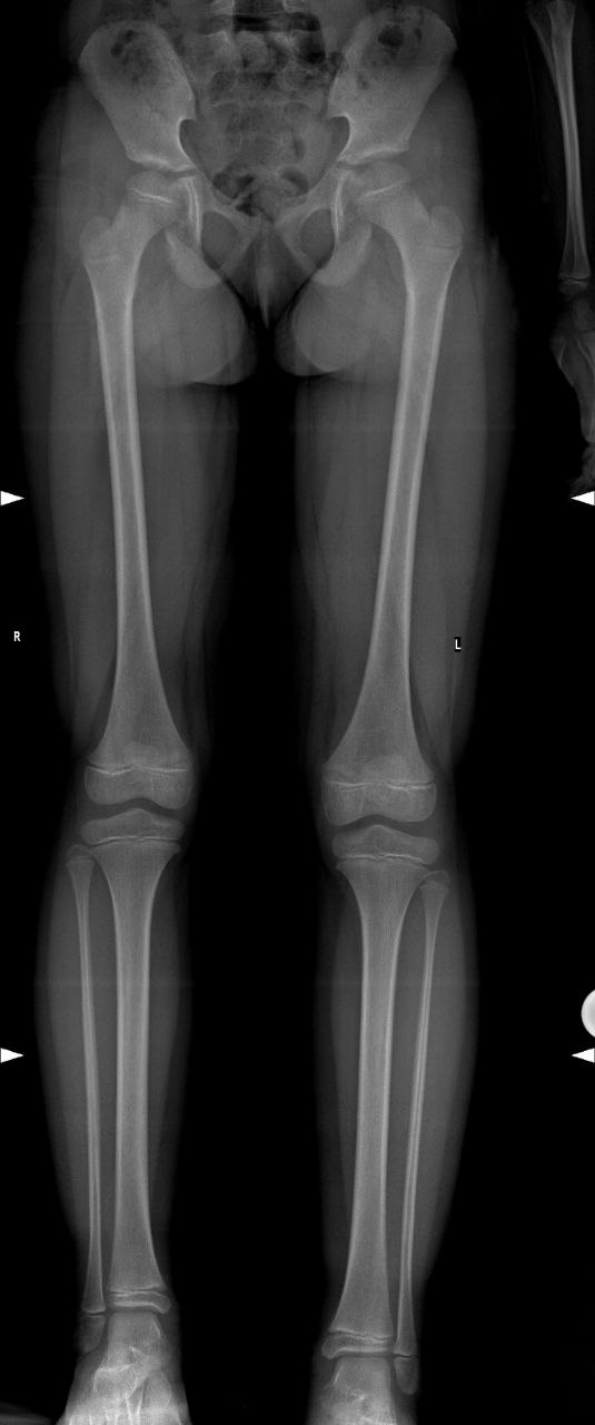
Пациентка, 12 лет. На фоне лечения патологии левого тазобедренного сустава сформировалось укорочение левого бедра до 3,5 см. Через 9 месяцев после оперативного лечения достигнута полная коррекция разновеликости.